
What are diabetes-related eye complications?
A look at some of the different types of diabetes-related eye complications – and how people living with diabetes can reduce the risk of developing these.
Lydia Blackshaw from the Hampshire and Isle of Wight Diabetic Eye Screening Programme provides a rundown on some of their most frequently asked questions about diabetes-related eye complications, spotting the signs early and reducing the risk of developing retinopathy.
Here are some common questions that we often get asked…

What is diabetic retinopathy?
Diabetic retinopathy is caused when diabetes affects the small blood vessels in the retina, which may affect your sight.
It does not usually affect your sight until changes are advanced.
Annual screening is an effective way of preventing sight loss caused by diabetes.
I don’t seem to have a problem with my sight, does that mean I don’t have diabetic retinopathy?
No, just because you haven’t noticed any difference in your sight it doesn’t mean there has not been any diabetes-related changes to the back of your eyes.
Through screening we can identify any early changes before they become a problem so that you don’t experience any deterioration in your sight as a result of diabetes.
How can I reduce the risk of developing diabetic retinopathy?
You can reduce the risk of developing diabetic retinopathy and slow down the process of sight-threatening diabetic retinopathy through the following lifestyle changes:
- Keeping your blood glucose and blood pressure well controlled.
- Keeping your cholesterol well controlled.
- Not smoking or drinking excess alcohol.
- Attending your annual diabetic eye screening appointment.
Do I need to go to the opticians as well as have my eyes screened?
Yes, it’s very important to have both diabetic eye screening and regular optician’s appointments.
Diabetic eye screening is specifically for diabetes-related changes, while your optician will check the general health of your eyes and prescribe glasses if you need them. It is important to attend every 1-2 years.

People living with diabetes should attend eye screening appointments to detect any diabetes-related eye complications.
Variation in eye screening results




Background diabetic retinopathy
- This is a sign that raised blood glucose levels over time have caused physical changes to the smallest blood vessels.
- It is not, however, considered “high risk” and does not require any medical intervention.
- We would, though, be keen to keep seeing you every year, so we can pick up any possible progression from this point.
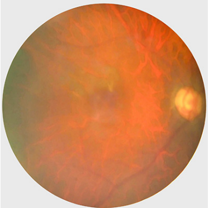
Diabetic maculopathy
- We noticed that you have specific diabetes-related changes close to your central vision (the darker orange area in the middle of the image above).
- We may refer you to a local general hospital. However, it is more likely that we will ask to see you at one of our screening clinics where a more
advanced test (an optical coherence tomography, or OCT, a non-invasive imaging test) can be given to find out whether an eye clinic referral is required.
Pre-proliferative diabetic retinopathy
- The signs that we see show that there are high levels of ischaemia (lack of oxygen) and raised risk of new blood vessels forming, which
would be a threat to your vision. - You are likely to be asked to attend an outpatient’s appointment at a local general hospital.
- It may be that you will be monitored for any further progression, or possibly be given treatment.
Proliferative diabetic retinopathy
- This means that we have seen new blood vessels growing and/or proliferative related bleeding in the eye.
- If left untreated there is a high risk of vision loss. If caught early, though, treatment would be expected to be successful.
- You will be asked to attend a local general hospital for an outpatient’s appointment, usually within six weeks from your eye screening appointment.


Non-diabetes-related eye diseases
- Sometimes we notice eye conditions that you may or may not already know about.
- Occasionally, a condition may need an urgent outpatient appointment at a local general hospital. We will inform the hospital, and they will invite you.
- Otherwise, we will usually let your GP know.
Please note, eye screening staff are not trained in all aspects of eye care and cannot replace your routine visit to an optician.
Unassessable results
- If we describe a result as unassessable, it means that we could not get a clear view.
- The most common reason is because you may have a cataract. Even early cataracts can make the photographs fuzzy.
- We will invite you for a slit lamp appointment, where a specialist will look at your eyes without the limitations of using a camera.

The Hampshire and Isle of Wight Diabetic Eye Screening Programme currently serves approximately 125,000 people and rising, for anyone aged 12 years or over with diabetes.
All screeners and graders are qualified and accredited, or in training. For more information about booking eye screening appointments where you are talk with your diabetes healthcare professional.
Read the DRWF diabetes information leaflet How can diabetes affect my eyes?
I would like to make a regular donation of
I would like to make a single donation of
There are lots of ways to raise money to support
people living with all forms of diabetes.
Bake, Swim, Cycle, Fly ... Do It For DRWF!
Fundraise with us
Recent News


